Статьи и памятки
Материал опубликован:
Обновлён:
Инсульт – одна из ведущих причин смертности и инвалидности в мире. На сосудистые заболевания приходится более половины смертей, причем около пятой части из них смерть настигает людей в трудоспособном возрасте. Предсказать появление инсульта невозможно, но уменьшить риск его возникновения достаточно просто.
В России смертность от инсульта – одна из самых высоких в мире, ежегодно от него погибает порядка 200 тыс. чел., еще столько же – остаются инвалидами. По данным Национального регистра инсульта, 31% людей, перенесших эту болезнь, нуждаются в посторонней помощи, 20% не могут самостоятельно ходить и лишь 8% выживших больных могут вернуться к прежней работе.
Инсульт – это нарушение кровообращения в головном мозге, вызванное закупоркой или разрывом его сосудов. Недостаток кислорода и глюкозы приводит к смерти клеток мозга и нарушению двигательных функций, речи или памяти.
Три четверти всех случаев заболевания – ишемический инсульт. Этим термином называют состояние, при котором тромб закупоривает сосуд и блокирует приток крови к определенной части мозга.
Вторая разновидность инсульта – геморрагический – встречается значительно реже. Он происходит, когда в головном мозге разрывается кровеносный сосуд.
Поражение небольшого участка головного мозга приводит к небольшим нарушениям – слабости конечностей. Нарушение кровообращения в больших областях мозга вызывает паралич и даже смерть.
У многих людей, перенесших инсульт, остается частично или полностью парализованной одна сторона тела, а иногда и две стороны, появляются нарушения речи и контроля функций мочеиспускания и дефекации. Страдают и интеллектуальные способности – память, познавательные функции.
Начало инсульта обычно проходит бессимптомно. Но через несколько минут клетки мозга, лишенные питания, начинают гибнуть, и последствия инсульта становятся заметными.
Обычные симптомы инсульта:
- внезапная слабость в лице, руке или ноге, чаще всего на одной стороне тела;
- внезапное помутнение сознания, проблемы с речью или с пониманием речи;
- внезапные проблемы со зрением в одном или обоих глазах;
- внезапное нарушение походки, головокружение, потеря равновесия или координации;
- внезапная сильная головная боль по неизвестной причине.
Очень важно сразу распознать симптомы инсульта, чтобы как можно быстрее вызвать бригаду скорой помощи. Ведь чем раньше начато лечение, тем лучше человек восстанавливается после инсульта.
Помните! Время, за которое можно успеть восстановить кровоток в артерии после ишемического инсульта и остановить гибель клеток головного мозга – «терапевтическое окно» – 3 часа. Чем раньше Вы обратитесь за медицинской помощью, тем более эффективным будет лечение.
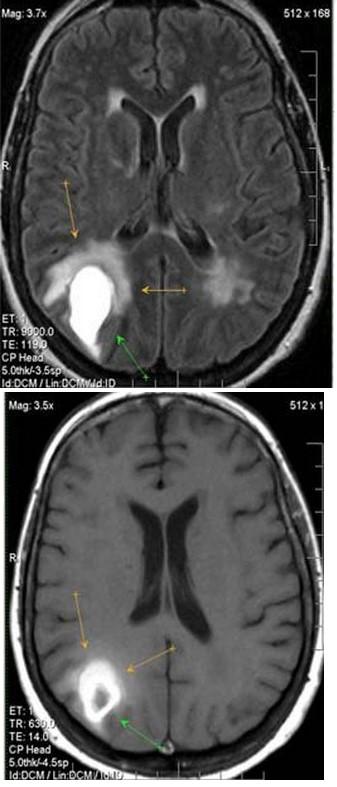
|
|
| Ишемический инсульт на МРТ головного мозга |
Как распознать инсульт.
Если вам кажется, что вы видите симптомы инсульта, проведите простой тест из трех заданий. Если выполнение всех трех заданий затруднено, немедленно вызывайте бригаду скорой помощи, сразу уточнив, что речь идет о подозрении на инсульт.
Попросите человека широко улыбнуться, показав зубы. При инсульте улыбка теряет естественность, становится очень напряженной и похожей на оскал, либо односторонней и кривой.
Затем попросите человека закрыть глаза, поднять руки и держать их в таком положении 10 секунд. При инсульте мышцы слабеют, и держать их поднятыми долго сложно. Если одна рука вообще не поднимается – это тоже верный признак инсульта.
Далее попросите повторить какое-нибудь предложение, например: «Сегодня с утра хорошая погода». Для инсульта характерны нарушения речи, и больной плохо справляется с этой задачей.
Из-за чего развивается инсульт.
Тромбы, вызывающие ишемические инсульты, обычно образовываются в артериях, просвет которых сужен из-за атеросклеротических бляшек. Сгустки крови могут образовываться из-за плохой работы сердца. Кровоизлияния вызываются и повышением артериального давления – оно приводит к разрыву мелких сосудов в мозге. Еще одна причина инсульта – разрыв аневризм, ненормально расширенных участков кровеносных сосудов в головном мозге. Но и эта проблема нередко вызывается и усугубляется повышенным давлением.
Основные факторы развития инсульта.
Инсульт может поразить любого человека. Некоторые факторы риска, вроде развития аневризмы или появления тромба в результате травмы, трудно контролировать.
Однако значительное количество факторов обусловлено в основном образом жизни.
К таким факторам относятся:
- повышенное артериальное давление;
- высокий уровень холестерина;
- диабет;
- ожирение и избыточный вес;
- сердечно-сосудистые заболевания;
- курение;
- употребление наркотиков;
- употребление алкоголя.
Кроме того, инсульт чаще развивается у людей старше 55 лет и тех, чьи близкие родственники уже пострадали от инсульта. В возрастном интервале от 45 до 55 лет инсульт у мужчин случается вдвое чаще, чем у женщин.
|
|
| Геморрагический инсульт на МРТ головного мозга |
Чтобы понять, есть ли риск инсульта, сложные исследования не нужны. Достаточно следить за состоянием сосудов и давлением, нормально питаться, не курить. Провериться можно совершенно бесплатно в Центрах здоровья.
Профилактика инсульта.
Данная профилактика строится на основных принципах здорового образа жизни.
Знайте и контролируйте свое артериальное давление.
Строгое соблюдение лекарственных назначений врача: при повышенном артериальном давлении – прием гипотензивных средств; при сердечной аритмии – прием лекарств, нормализующих ритм; при сахарном диабете – прием средств, снижающих уровень сахара крови; при перенесенном инсульте – прием лекарственных препаратов, снижающих вязкость крови. Лечение должно осуществляться по назначению и под контролем врача.
Не начинайте курить или откажитесь от курения, как можно раньше.
Откажитесь от соли.
Добавляйте в пищу, как можно меньше соли и откажитесь от консервов и полуфабрикатов, которые содержат ее в избыточном количестве. Необходимо не просто уменьшить количество съедаемой соли, но полностью исключить из рациона переработанные продукты, так как именно на них приходится более 80% всего потребляемого натрия. Многие продукты, которые мы даже не воспринимаем как соленые, имеют в своем составе количество натрия больше, чем в чипсах. Например, фабричные соусы и кетчупы.
Контролируйте уровень холестерина в крови.
Иными словами, при профилактике инсульта необходимо насытить диету продуктами, способствующими понижению уровня холестерина. Чемпионы среди них: овсяные хлопья, миндаль. В рационе должно быть повышенное количество белков, фруктов, овощей и злаков, растительного масла. Полезной является морская рыба, что связанно с наличием в ней ненасыщенных жирных кислот. предупреждающих поражение сосудов. Эти продукты способны снизить уровень вредного холестерина почти на 40% – т.е, почти также, как и специальные медицинские препараты. Снижение холестерина в свою очередь уменьшает риск развития инсульта на 25%.
Соблюдайте основные принципы здорового питания
Ешьте больше овощей и фруктов, откажитесь от добавленного сахара и насыщенного животного жира. Важно обогащение рациона калием, магнием и фолатом. Это овощи и фрукты. Эти продукты – богатейшие источники антиоксидантов, которые, как известно, снимают воспаление и предупреждают образование бляшек на стенках артерий. Антиоксиданты расширяют кровеносные сосуды, а, значит, улучшают кровоток. Так что для профилактики инсульта лучше употреблять большое количество свежих овощей и фруктов в таком разнообразии, какое вы только способны себе позволить. Один из наиболее ценных фруктов для профилактики инсульта – банан, богатый калием. Ученые доказали, что рацион, почти не содержащий калий, повышает риск возникновения инсульта на 30%. 2-3 банана в день или горсть чернослива насыщают меню калием, не оставляя инсульту никаких шансов. Если же говорить об овощах, из них наиболее полезны фасоль и шпинат благодаря тому, что они богаты фолатом. Американские исследователи пришли к выводу, что люди, чей рацион богат продуктами, содержащими фолат, менее подвержены сердечно-сосудистыми болезням и инсультам. Кроме калия и фолата, для профилактики инсульта важно употребление магния особенно, в сочетании с кальцием. Этот союз снижает артериальное давление и риск инсульта. И тот и другой элементы содержатся в молоке, которое, соблюдая профилактику инсульта, необходимо употреблять обезжиренным. Ежедневная норма – 2 стакана молока в день. Кроме молока магнием богаты такие продукты как: черная фасоль, шпинат, палтус. Все они тоже желательны в профилактике инсульта.
Не употребляйте алкоголь.
Риск развития инсульта наиболее высок в первые часы после принятия спиртного.
Активный образ жизни.
Умеренная физическая нагрузка – прогулка или катание на велосипеде – уменьшает риск развития сердечно-сосудистых заболеваний, в том числе и инсульта.
Борьба со стрессом.
Роль стресса в повышении риска инсульта хорошо изучена и доказана. Учитесь избегать конфликтов, позитивно смотреть на жизнь, что особенно актуально в наше кризисное время. При невозможности справится с проблемой самостоятельно, обращайтесь за помощью к специалистам.
Ацетилсалициловая кислота.
Применение ацетилсалициловой кислоты (АСК) – один из важнейших способов профилактики инсульта. Она препятствует образованию тромбов, снижает свертываемость крови, за счет чего сохраняется проходимость кровеносных сосудов. Достаточно всего одного приема препарата в сутки в дозе 75 мг. Прием препарата должен осуществляться по назначению врача.
Что делать в случае инсульта?
Если вы видите у кого-то признаки инсульта, немедленно вызовите врача или скорую помощь или отвезите этого человека в сосудистое отделение городской больницы. Сделайте это, если даже симптомы не очень тяжелые, поскольку инсульт может прогрессировать.
Реабилитация и длительный уход.
Многие больные, перенесшие инсульт, остаются в той или иной степени инвалидами и нуждаются в длительном уходе в домашних условиях.
Значительная часть реабилитации после инсульта включает обучение больных тому, как безопасно выполнять физические упражнения
Реабилитация также включает в себя:
- оказание помощи в улучшении ходьбы, приеме пищи, одевании, купании, приготовлении пищи, чтении, написании и пользовании туалетом;
- обучение речи;
- обучение элементарным приемам труда.
Как можно избежать повторного инсульта?
Важно поддерживать здоровый образ жизни и обязательно пройти курс медицинского лечения: м прием аспирина и лекарственного средства для понижения кровяного давления. Люди, которые перенесли инсульт, с большей вероятностью могут подвергнуться повторному инсульту.
Если у вас аритмичное сокращение сердца (мерцательная аритмия), то для предупреждения повторного инсульта также важно учитывать это и обращаться за медицинской помощью.
Врач-невролог Цымбалова Т.Д.

