Статьи и памятки
Материал опубликован:
Обновлён:
Ежегодно в мире отмечается Международный день отказа от курения. Его цель — привлечь внимание общества к проблеме табачной зависимости, профилактика табакокурения, информирование общества о пагубном воздействии табака на здоровье. Врачи предлагают курильщикам хотя бы на этот день отказаться от вредной привычки.
Такой акцент на проблеме табакокурения не случаен, ведь зависимость от табака признана одной из самых распространенной за всю историю человечества и стои́т наравне в одном ряду с алкоголизмом и наркоманией.
Привыкание организма к никотину происходит примерно со 2-3-го приема. И с каждой новой дозой сила зависимости возрастает. При этом, как отмечает статистика, большинство курильщиков впервые пробуют табачную продукцию еще в подростковом возрасте. Именно поэтому Международный день отказа от курения призван не только повлиять на самосознание тех, кто уже подвержен этому пагубному пристрастию, но и уберечь молодое поколение от желания начать курить, ведь влияние никотина на организм является чрезвычайно разрушительным и никогда не проходит бесследно.
Курение — одна из самых значительных угроз здоровью человека. По данным Всемирной организация здравоохранения ежегодно табак приводит почти к 7 млн. случаев смерти, из которых более 6 млн. происходит среди потребителей и бывших потребителей табака, и более 890 000 — среди некурящих людей, подвергающихся воздействию вторичного табачного дыма. Если не будут приняты срочные меры, число ежегодных случаев смерти к 2030 г. может превысить 8 млн.
Один из самых главных факторов, затрудняющих попытки человека бросить курить — зависимость. У курильщиков достаточно быстро формируется привыкание к никотину, содержащемуся в табачных листьях, что обуславливает сильную, практически неодолимую потребность закурить снова и снова.
Когда человек пытается бросить курить, у него могут быть симптомы отмены: раздражительность, снижение концентрации внимания, проблемы со сном, повышенный аппетит, мощная тяга к табаку.
Помимо никотина в табачном дыму обнаруживается ряд других опасных химических веществ, таких как смолы, радиоактивный полоний, мышьяк, свинец, висмут, аммиак, органические кислоты. Случаев острого отравления этими веществами практически не наблюдается в связи с тем, что в организм они поступают медленно, дозировано, однако эти вещества приводят к постепенному ухудшению здоровья.
При сгорании 20 г табака в среднем образуется: 0,0012 г синильной кислоты; около 0,0012 г сероводорода; 0,22 г пиридиновых оснований; 0,18 г никотина; 0,64 г аммиака; 0,92 г оксида углерода; не менее 1 г концентрата из жидких и твердых продуктов горения и сухой перегонки табака
|
|
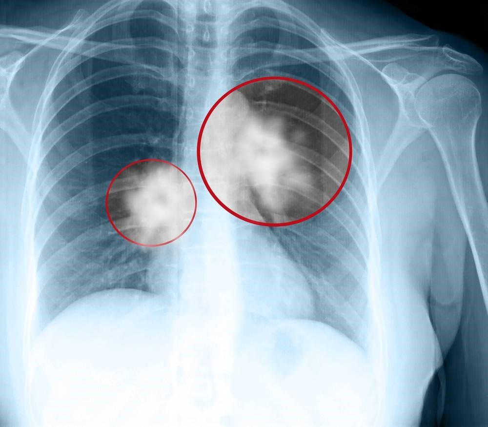
| Так выглядит на рентгеновском снимке рак легких |
Многие курильщики считают, что курение сигареты с фильтром безопасно, но это не так. Если бы поглотители и фильтры обеспечивали полную защиту от вредных веществ, то они бы поглощали и сам никотин, в таком случае эффект от курения не ощущался бы. Курильщики легких сигарет также считают, что курение легких сигарет оказывает минимальное воздействие на организм. Это тоже миф. Вред, наносимый курением любых сигарет, одинаков для всех курильщиков.
Помимо самого курильщика страдают и те, кто находится вокруг — так называемые пассивные курильщики.
Какой ущерб здоровью в целом наносит употребление табака?
Длительное курение приводит к заболеваниям различных органов и систем. Курение увеличивает риск смерти от рака и других заболеваний у онкологических больных и здоровых людей. Курение может стать причиной онкологического процесса в любом органе: мочевом пузыре, крови (острый миелоидный лейкоз), шейке матки, кишечнике, пищеводе, почках и мочеточниках, гортани, печени, ротовой полости (горло, язык, мягкое небо и миндалины), поджелудочной железы, желудка, трахее, бронхов и легких.
Курение наносит вред сердцу и кровообращению, увеличивает риск развития ишемической болезни сердца, инсульта, заболевания периферических сосудов (поврежденные кровеносные сосуды) и цереброваскулярных заболеваний (поврежденные артерии, которые снабжают мозг кровью). Окись углерода из дыма и никотина увеличивают нагрузку на сердце, заставляя его работать быстрее. Они также увеличивают риск возникновения тромбов. Фактически, курение удваивает риск сердечного приступа, стенокардии. Курящие люди имеют двойной риск смерти от ишемической болезни сердца, чем некурящие. Курильщики, выкуривающие 5 или менее сигарет в день, могут иметь ранние признаки сердечно-сосудистых заболеваний.
Но что произойдет, если бросить курить? Спустя год после отказа от курения риск развития сердечно-сосудистых заболеваний уменьшается вдвое, через 15 лет риск аналогичен риску того, кто никогда не курил.
У курящих людей увеличивается риск развития язвы, а также рака желудка. Курение может вызывать рефлюкс — заброс желудочного содержимого, в таком случае кислота из желудка может двигаться в обратную сторону — в пищевод.
Исследования показали, что если регулярно выкуривать 10 сигарет в день, то в полтора раза чаще развивается рак почек по сравнению с некурящими. Если человек выкуривает 20 или более сигарет в день – риск увеличивается вдвое.
Курение вызывает преждевременное старение кожи на 10-20 лет. Отказ же от курения предотвращает дальнейшее ухудшение состояния кожи.
Курение может привести к снижению костной массы и повышению хрупкости костей. Женщины должны быть особенно осторожны, поскольку они чаще страдают от развития остеопороза, чем некурящие.
Курение повышает риск развития инсульта на 50%, что может привести к повреждению мозга и смерти. Курение увеличивает риск развития аневризмы сосудов мозга. Это выбухание кровеносного сосуда, вызванное слабостью его стенки. Такое состояние может привести к субарахноидальному кровоизлиянию, которое является одним из типов инсульта, и может вызвать обширное повреждение головного мозга и смерть.
В течение двух лет после прекращения курения риск развития инсульта уменьшится вдвое, и в течение пяти лет он будет таким же, как у некурящих.
Кашель, простуда, хрипы и астма – только начало. Курение может привести к смертельным заболеваниям, таким как пневмония, эмфизема и рак легких. Курение вызывает 84% смертей от рака легких и 83% смертей от хронической обструктивной болезни легких (ХОБЛ).
ХОБЛ – прогрессирующая и изнурительная болезнь, является общим названием болезней легких, включая хронический бронхит и эмфизему. Люди с ХОБЛ испытывают трудности с дыханием, прежде всего из-за сужения дыхательных путей и разрушения легочной ткани. Типичные симптомы ХОБЛ включают: одышку при активном состоянии, постоянный кашель с мокротой и частые инфекции органов грудной клетки. Ранние признаки ХОБЛ часто называют «кашлем курильщика», но если люди продолжают курить, то состояние ухудшается, что может сильно повлиять на качество их жизни. Самый эффективный способ замедлить прогрессирование данного заболевания – прекратить курения.
Самым серьезным последствием курения для органов ротовой полости – это риск развития рака губ, языка, горла, гортани и пищевода. Более 93% орофарингеальных раков (рак в горле) вызваны курением.
Кроме того, последствием курения может стать неприятный запах изо рта, изменение цвета эмали зубов, воспалительные заболевания десен и нарушение вкусовых ощущений.
Курение может вызвать импотенцию у мужчин, поскольку оно повреждает кровеносные сосуды, которые снабжают кровью половые органы. Это также может оказать влияние на качество семенной жидкости, уменьшить количество сперматозоидов, что приведет к бесплодию.
Курение у женщин увеличивает риск развития бесплодия, а также развития рака шейки матки.
Курение во время беременности имеет целый ряд рисков: преждевременные роды, выкидыш, мертворождение, низкий вес новорожденного, синдром внезапной детской смерти, детские болезни.
Как в Российской Федерации помогает в борьбе с курением? Государство повышает цены на сигареты, контролирует соблюдение возрастных ограничений продажи сигарет, дает в популяризации информации о вреде курения среди подростков, которую они получают в основном по телевидению, со стендов объявлений, во время публичных мероприятий, из сообщений в газетах, журналах, в интернете, по радио, в кинотеатрах.
Каждая сигарета, которую вы курите, вредна!
Заведующая 1-ым поликлиническим отделением
Бережнова Т.В.
