Categories

Agrégateur de contenus

Бешенство

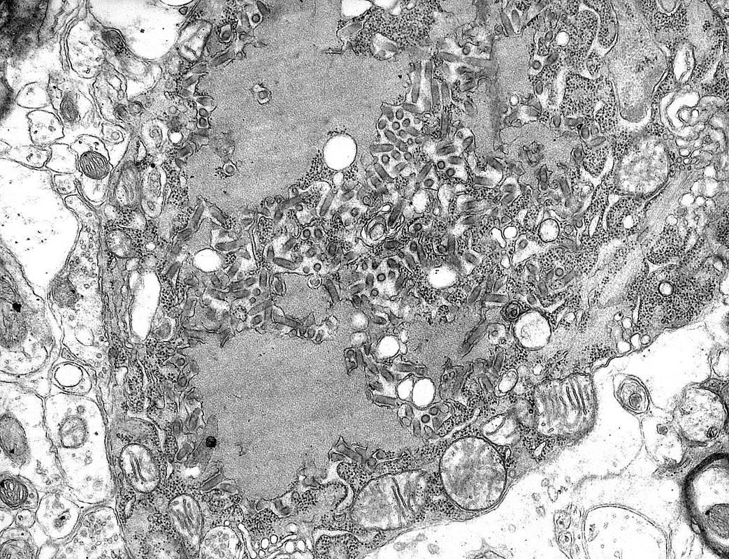
Электронная микрофотография
вируса бешенства
и новообразования в цитоплазме
нейронов головного мозга,
вызванные размножением
вируса.

Бешенство – инфекционное заболевание млекопитающих и человека, вызываемое вирусом бешенства Rabies virus.

Как у животных, так и у человека бешенство сопровождается развитием специфического энцефалита, вызывая необратимые изменения нервных клеток коры и других участков головного мозга. Это заболевание характеризуется высочайшей летальностью. Практически все случаи бешенства после развития клинических проявлений заканчиваются смертью пациента. Единственный эффективный метод лечения иммуннопрофилактика до развития симптомов. Специфического лечения при развернутой клинической картине нет.

На данный момент бешенство утратило сезонный характер проявления и регистрируется круглогодично. Всё чаще очаги бешенства регистрируются вблизи районных центров, крупных сёл и городов. Среди заболевших были как дикие животные – енотовидные собаки, лисы, так и домашние – собаки и кошки.

Для бешенства наиболее типичным является контактный способ заражения. Оно происходит через инфицированную слюну больных животных, которая попадает при укусах в раны или на слизистые оболочки и поврежденную кожу. Однако не все укушенные животные (или человек) заражаются бешенством,так как в слюне больных животных в скрытый период болезни вирус может отсутствовать. Инкубационный период при бешенстве составляет 14-60 дней, но иногда достигает 6-12 месяцев.

 

С места внедрения (укуса) вирус проникает в спинной, а затем головной мозг. Под воздействием вируса происходит дегенерация нервных клеток головного и спинного мозга, что обусловливает различные неврологические нарушения и гибель животных от асфиксии (паралича дыхательной мускулатуры).

Клинические признаки заболевания бешенством появляются чаще всего через 3-8 недель после заражения. В начале заболевания отмечают изменения в поведении собак и кошек: животное необычайно ласково или, напротив, капризно, настороженное, не выполняет команды. Животное непривычно возбуждено, часто разгрызает место укуса. Аппетит понижен или извращен, животное поедает несъедобные предметы, наблюдается обильное слюнотечение и рвота. Такое состояние длится 1-4 дня.

У собак и кошек клинически различают в основном две формы болезни: буйную (агрессивную) и тихую (паралитическую). Однако нередко бешенство может протекать в атипичных формах.

При агрессивной форме животное резко возбуждено, агрессивно, грызет землю и различные предметы, стремится убежать. Часто больные животные неожиданно набрасываются на других животных или людей. В дальнейшем появляются конвульсивные припадки, которые постепенно учащаются, увеличивается их продолжительность. При этом отмечаются высокая температура, рвота, параличи отдельных групп мышц (глотки, гортани, конечностей), развивается косоглазие; нижняя челюсть отвисает, из пасти вытекает слюна; лай становится хриплым, заглушённым.

 

Мужчина больной бешенством

При паралитической форме бешенства рано проявляются параличи, голос становится хриплым, затруднено глотание, отмечается сильное слюнотечение. У хозяина создается впечатление, что собака подавилась костью, он пытается извлечь ее из пасти, подвергая себя заражению.

В последние 10 лет атипичные формы бешенства стали отмечать сравнительно часто. Болезнь характеризуется под острым или хроническим (до 2-3 месяцев) течением. При этом наблюдают вялость и безучастность животных, расстройства нервной, пищеварительной и других систем организма.

Заболевшие дикие животные ведут себя иначе, чем здоровые. Они перестают бояться людей, часто заходят в населенные пункты, фермы, нападают на людей и домашних животных.

Животное, покусавшее человека, необходимо отвести в ветеринарную лечебницу для наблюдения. В слюне заболевшего животного вирус бешенства появляется за 10 дней до клинических проявлений заболевания. Вот почему беспричинно нанесших укусы собак и кошек следует наблюдать в течение 10 дней в условиях строгой изоляции. Если за данный период у этих животных не проявятся симптомы болезни, следовательно, их слюна в момент укуса не содержала вирус. Животных, покусавших человека, необходимо показывать ветеринарным врачам, но ни в коем случае не убивать.

Если вашего питомца покусало дикое или подозрительное домашнее животное, то его необходимо как можно быстрее отвести в ветеринарную лечебницу для проведения вынужденной вакцинации.

Владельцы собак и кошек должны строго соблюдать правила содержания домашних животных в городах и населенных пунктах: выводить собак на поводках и в наморднике, ежегодно прививать их против бешенства. Не вакцинированных собак запрещается использовать для службы, охраны, охоты, племенного дела, а также перевозить их и участвовать с ними в выставках, выводках и других мероприятиях.

Лечение при бешенстве не разработано. Единственный способ предотвращения заражения вас и ваших питомцев является профилактическая вакцинация домашних животных против бешенства.

10 octobre 2022, 16:32
10 octobre 2022, 16:32